知識分享
多囊性卵巢有哪些症狀?怎麼檢查多囊性卵巢原因與治療?
多囊性卵巢症候群的英文是polycystic ovary syndrome,簡稱PCOS。當女性雌性激素過高,AMH數值過高>5 的時候,可能就患有多囊性卵巢症候群。
多囊的女性常因賀爾蒙分泌異常,導致濾泡發育不全,以致月經不規則、遲來,亦會降低患者的受孕率。
多囊性卵巢症的症狀,如:月經失調、雄激素過量、卵巢結構異常等等,是很常見的一種婦女病,也是許多想懷孕的女性心中的一大困擾。
想了解AMH是什麼,請參考:AMH是什麼?用AMH檢測卵巢功能與生育力

▲【未來生育小學堂】多囊性卵巢症候群-肥胖?不孕?都是多囊性卵巢害的?
關於多囊性卵巢症候群(PCOS)
多囊性卵巢會怎樣?症狀有這些!
- 月經失調:一年中少於 8 次,或者是月經之間相隔超過 35 天
- 雄性素過量癥狀:痘痘增多、體毛過多(尤其在上唇處、下巴、腹部、上臂或腋下)
- 卵巢結構異常:經影像學檢查發現卵巢有變大情形,或是在卵巢發現超過 10-12 顆以上濾泡
- 荷爾蒙異常:毛髮量增多、青春痘、掉髮、亂經
多囊性卵巢症候群還會有「胰島素抗阻」的狀況,也就是細胞、胰島素沒有反應,導致葡萄糖過多,不只會有新陳代謝疾病和肥胖問題,也會影響排卵。
若有「多囊性卵巢」相關疑慮,請至婦產科就醫,若有懷孕計劃也可到不孕症科就醫。
了解更多:如何檢查卵巢功能?卵巢功能失調該怎麼辦?
罹患多囊性卵巢的原因有哪些?
為什麼會罹患多囊性卵巢?罹患多囊性卵巢症候群的原因至今仍是未知,臨床上普遍認為是與遺傳、荷爾蒙變化等有關。
- 先天因素:擁有相關家族疾病史的女性可能會有激素分泌問題,雄性素分泌增加,導致排卵困難。
- 後天因素:臨床觀察發現肥胖、胰島素阻抗等因素,也會容易誘發女性罹患多囊性卵巢症候群。
如何檢查出多囊卵巢症?
根據美國生殖醫學會、歐洲生殖醫學,針對多囊性卵巢症候群討論出的共識,符合以下檢查結果2項(含)以上,並且排除其他內分泌疾病(如:先天性腎上腺增生或庫辛氏症),就可診斷為多囊性卵巢症候群:
- 經期不規律:沒有規律排卵、或不排卵,恐導致經期不規則、或無月經
- 雄性素過高:抽血檢查是否雄性素(睪固酮Testosterone)過高,或透過雄性素高的症狀(肥胖、體毛多、痘痘)來輔助診斷
- 卵巢小卵泡過多:透過超音波,檢查卵巢是否有多顆2-9mm的小卵泡(超過10顆)的臨床表現
- 抗穆氏管荷爾蒙AMH值>5:抽血檢測抗穆氏管荷爾蒙AMH值超過5
多囊性卵巢治療方式有哪些?
多囊性卵巢的治療方式,常見為:
- 口服避孕藥:使用口服避孕藥抑制雄激素的產生,讓患者產生規律的月經,適合暫無生育計劃的女性。
- 控制胰島素阻抗力:使用藥物降低胰島素濃度,幫助患者恢復排卵能力和其他症狀(如:減輕體重、減緩毛髮生長速度)。
- 排卵藥劑:使用排卵藥劑刺激排卵,增加懷孕率,適合有生育計劃的女性。
- 控制體重:因肥胖而引起的多囊性卵巢,在患者控制體重後,月經失調問題可得到改善。
多囊性卵巢懷孕更順利,請參考:針對多囊性卵巢懷孕使用普拉維療法
多囊性卵巢會影響懷孕嗎?
多囊性卵巢患者常有月經失調的問題,另外雄性素過多也會導致排卵困難的問題,卵子品質較差,患者較難受孕。但,多囊性卵巢症候群的患者,可以透過治療提升懷孕率。
如何透過運動與飲食改善多囊性卵巢?
1. 規律運動
BMI值介於18~24之間,減少雄激素與降低胰島素阻抗
2. 調整飲食
選擇富含纖維素高、減少反脂肪、飽和脂肪及精致碳水化合物食品
3. 維生素D3、Q10、肌醇
調節胰島素敏感性,改善排卵問題,提升卵子質量與受孕率。肌醇、葉酸也可助於協調胰島素作用
| 其他適合多囊性卵巢症候群的營養補充品 | |
| 褪黑激素 | 睡前3毫克 |
| 硫辛酸 | R型硫辛酸200-300毫克 標準劑型600毫克 |
| 乙醯半胱胺酸 | 典型劑量600毫克 |
多囊性卵巢懷孕案例
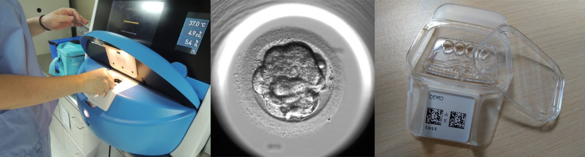
四代試管技術 助多囊媽媽成功得子
多囊性卵巢女性的卵子質量較差,因此可透過「四代試管」來篩選出優質胚胎,以提升懷孕率。
所謂的四代試管,是在三代試管PGT-A(PGS)胚胎著床前基因篩檢為基礎,加入人工智能Time-lapse胚胎影像實時監控系統,在不取出胚胎的情況下24小時觀察胚胎生長狀況,選出發育最好的胚胎進行植入。
茂盛醫院所使用的PGT-A(PGS)是分辨率極高的hr-NGS高分辨率次世代定序分析平台,且本院為獲得TAF實驗室認證的生殖中心,可確保PGT-A(PGS)報告的嚴謹及精確度,能讓醫師做更正確的判斷,也因此提高了懷孕率。
四代試管中的AI人工智能,更讓單一胚胎植入的成功率高達80%以上,以避免為成功懷孕植入過多胚胎,造成高齡孕婦及孩子早產之風險。

▲四代試管 = 三代試管PGT-A(PGS)胚胎著床前基因篩檢+ Time-lapse胚胎影像實時監控系統 + 演算法

▲精準AI試管技術
插畫家不死兔 多囊難排卵,四代試管成功懷孕
網路知名插畫家「不死兔」在臉書粉專擁有二十五萬名粉絲,除了在網路上分享圖文以外,也是著名的LINE貼圖插畫家,最近還開啟網路課程教學當起老師,傳授如何創作貼圖的經驗與訣竅!
身為金牛座的他,即使家人曾不看好他插畫家一職,卻一直堅持自己想做的事,在事業上不斷追求突破,完成自己的目標!
接下來的人生與老公柴尼想擁有自己的孩子,卻因為多囊體質較難懷孕,從2020年開始備孕兩年都沒有消息,原先在他院嘗試一次試管也沒有成功,本來很灰心的不死兔,決定在2022年重新出發,也成功在茂盛醫院懷孕囉!
⋙插畫家不死兔 多囊難排卵,四代試管成功懷孕
國光女神林書葶UNA患多囊,試管喜獲雙胞胎
藝人林書葶曾以以女子團體「City魅」出道,而後成為節目《國光幫幫忙》助理主持,被稱作是「國光女神」之一。
患有多囊性卵巢與單側輸卵管阻塞的他,提早發現不容易受孕體質的他,雖然還年輕,但也嘗試過許多受孕方法最後都宣告失敗,經過茂盛醫院李俊逸醫師的專業評估,最後決定要做試管療程。
⋙國光女神林書葶UNA患多囊,試管喜獲雙胞胎
多囊不孕夫妻透過試管誕下健康龍鳳胎
台灣知名部落客布萊克夫婦,因多囊性卵巢造成不孕,努力3年試過14種方法全部失敗,在2018年開始嘗試試管嬰兒療程,在第三次植入終於成功懷孕,並生下健康的龍鳳胎寶寶。
⋙ 布萊克夫婦的求子路⋙多囊性卵巢也能擁有“天使般的懷孕”—— 普維拉療法 提升受孕率 降低不適症
⋙多囊難孕 茂盛一試成龍鳳胎
參考資料:
- Polycystic ovary syndrome - Office on Women's Health
- 謝汝萱(譯)(2021)。養卵聖經:給所有想當媽媽的人,最完整的科學養卵、護胎指南!。臺北市:柿子文化。(Rebecca Fett,2014)
填單進一步「了解試管嬰兒療程」
其他相關訊息
-
11.Feb.2026
畸胎瘤一定要開刀嗎?卵巢長毛髮、牙齒,還能懷孕嗎?
-
11.Feb.2026
骨盆腔發炎會自己好嗎?骨盆腔發炎症狀有哪些?診斷、治療方式說明
-
09.Jan.2026
巴氏腺囊腫是什麼?巴氏腺囊腫原因、症狀有哪些?私密處腫痛元兇就是他!









