關於茂盛
專業技術
實驗室配有高實用性的儀器設備,包含次世代定序儀、晶片掃描儀、聚合連鎖反應儀等,以專業技術與高規格設備,提供安全、精準的生殖醫學檢測服務。主要檢測範圍包括胚胎著床前基因診斷PGT-M(PGD)及胚胎著床前染色體篩PGT-A(PGS) ,以提高胚胎著床率及懷孕率。
AI選胚技術
將胚胎早期發育的動態影像資料結合AI深度學習模組,成功發展出「胚胎AI智能影像動態分析系統」,以智慧運算的方式輔助預測胚胎的外觀品質與染色體正常分數的胚胎分級制。簡單來說:AI選胚利用胚胎的生長動態變化找出品質較好的胚胎,同時也可作為著床前染色體篩檢PGT-A(PGS)的胚胎品質輔助評估工具,以提高試管媽媽懷孕的成功率。
AI選胚技術的精準度與導入運算的數據庫息息相關。在茂盛醫院除了使用胚胎影像即時監控系統(Time-lapse)廠商提供的內建數據庫外,茂盛透過研究將臨床的數據庫融入選胚系統,每年進行超過5000個週期的人工生殖療程,至今已累積超過3萬名試管寶寶成功經驗,擁有龐大的試管嬰兒數據庫,加上超過38年的生殖醫學經驗,更能貼近國內不孕夫婦進行試管療程的實際情況。

▲AI選胚 胚胎影像即時監控系統(Time-lapse)
胚胎著床前染色體篩檢PGT-A(PGS)

▲以次世代定序儀進行胚胎著床前染色體篩檢
研究發現胚胎染色體數目或結構上的異常可能造成婦女習慣性流產或高齡、不明原因不孕,透過胚胎著床前基因篩檢技術可選擇具正常數目染色體的胚胎進行植入,降低因染色體異常所造成的自然流產或人工流產,進而提高試管嬰兒的成功率。本中心的PGS除採用晶片全基因體分析技術(簡稱Array-CGH),並引進更先進的次世代定序技術(next generation sequencing, NGS),提供快速、高準確與高解析的染色體基因分析。
● 胚胎著床前染色體篩檢PGT-A(PGS)之流程
胚胎著床前基因診斷PGT-M(PGD)
具家族遺傳性疾病的患者,為避免異常的致病基因遺傳至下一代,於胚胎植入前以PGT-M技術取得八細胞期胚胎的一個細胞進行分析,排除帶有基因遺傳疾病的胚胎。本中心提供客製化之服務,針對個人設計適當之檢測策略與方式。
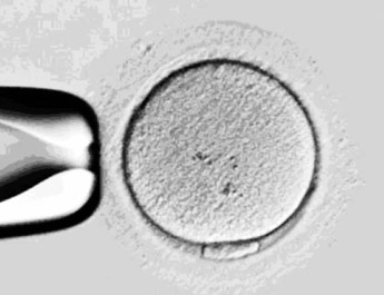
卵子紡錘體辨識技術
紡錘體(spindle)在細胞分裂的過程中扮演重要的角色,其牽引著染色體的移動,所以當紡錘體受到傷害將影響胚胎發育或造成染色體異常。針對高齡患者紡錘體偏移現象,利用偏光顯微鏡辨識染色體位置,避免於精子顯微注射時造成染色體之傷害並順利達到受精的目的。

▲紡錘體鏡定位技術可提高受精率、胚胎品質及懷孕率

▲紡錘體鏡定位技術 避免精蟲顯微注射對卵子傷害
著床前染色體篩檢技術
研究發現胚胎染色體數目或結構上的異常可能造成婦女習慣性流產或高齡、不明原因不孕,透過胚胎著床前基因篩檢技術可選擇具正常數目染色體的胚胎進行植入,降低因染色體異常所造成的自然流產或人工流產,進而提高試管嬰兒的成功率。本中心的PGT-A(PGS)除採用晶片全基因體分析技術(簡稱Array-CGH),並引進更先進的次世代定序技術(next generation sequencing, NGS),提供快速、高準確與高解析的染色體基因分析。
胚胎著床前基因診斷技術
具家族遺傳性疾病的患者,為避免異常的致病基因遺傳至下一代,於胚胎植入前以PGT-M(PGD)技術取得八細胞期胚胎的一個細胞進行分析,排除帶有基因遺傳疾病的胚胎。本中心提供客製化之服務,針對個人設計適當之檢測策略與方式。
胚胎冷凍解凍技術
玻璃化冷凍法利用高濃度冷凍保護劑以短時間內使胚胎細胞脫水,再藉由每分鐘下降約-23,000℃的超快速度使胚胎降溫,避免冰晶的產生,讓胚胎達到玻璃化狀態。這個過程需要由資深胚胎師來操作,藉由熟練的技術來將耗損率降至最低。





