最新消息
茂盛醫院推出第四代試管嬰兒,助高齡夫妻美夢成真!!
試管嬰兒療程是許多不孕夫婦、高齡婦女的救星,當亞洲還在風行三代試管時,茂盛醫院已悄悄推出第四代試管嬰兒,什麼是四代試管呢?與前三代試管有什麼不同之處?茂盛帶您接著看下去!
關於第四代試管,你可能想知道
什麼是第四代試管嬰兒?
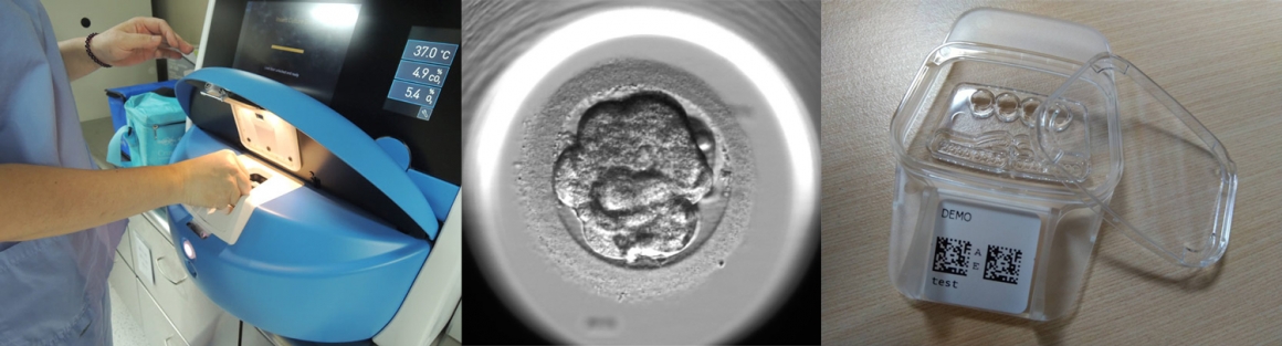
所謂的四代試管,就是在「三代試管PGS(胚胎著床前基因篩檢) 」的基礎上,加上造價千萬的「胚胎影像即時監控系統(Time-lapse)」及累積33年不孕治療臨床經驗而成的「演算法」,來幫個別胚胎打分數,第四代試管會選出品質最佳的胚胎進行植入,進而將試管成功率提升到更高!

四代試管 = 三代試管PGS + 胚胎即時影像監控 + 演算法
第四代試管嬰兒費用怎麼算?
試管的費用依照療程種類的不同差異很大,療程有二代試管、三代試管、四代試管等,從15萬~25萬台幣都有,因為運用了技術,第四代試管嬰兒費用會較高;但考慮到成功率,選擇費用較低的療程不一定會比較划算,主要還是根據自身需求與狀況,再配合醫生評估決定適合的療程。
四代試管與其他試管有何不同?
◎ 三代試管
三代試管「胚胎著床前基因篩檢(PGS)」這個技術,主要可解決夫妻因高齡造成胚胎染色體異常的問題,亦適用於試管多次失敗、多次流產的情況。而茂盛醫院使用的是解析度高的「次世代定序分析平臺(NGS)」,可排除6萬多種如唐氏症等異常染色體基因。
◎ 3.5代試管
若再導入AI人工智慧系統「胚胎影像即時監控系統(Time-lapse)」即為所謂的3.5代試管,這台機器可在不取出胚胎的情況下進行長達120小時的觀測。胚胎的培養皿內裝置了特殊的辨識晶片,能自動讀取並儲存病人的胚胎資料,並隔絕污染,堪稱是六星級的培養環境!同時,監控系統中的顯微鏡頭每10分鐘為胚胎拍照,每1顆胚胎會拍下1萬張的影像,得以完整記錄胚胎發育過程。
◎ 四代試管
最後,再運用茂盛醫院發展出的「AI演算法」幫這些龐大影像資料做精密的演算與分析,也就是幫胚胎打分數後挑出最優者,其懷孕率會是一般胚胎的3倍,整體懷孕率提高至8成以上、流產率也大降至5%,是高齡不孕婦女最後的生子契機,我們稱之為四代試管。

第四代試管嬰兒成功案例分享
目前第四代試管嬰兒這項技術已確實幫助許多高齡夫妻,並累積多起成功案例:
案例一:38歲幸運順利產子拚二胎
38歲的S女士打從30歲起就想要懷孕,8年來看過好幾家中醫,耗費10萬元買昂貴水藥來喝,但還是未能成功懷孕。
直到一年半前,本身是個護理師的她決定採用四代試管,醫師先取出品質優良的20顆卵子後,結胚成4顆品質良好的囊胚,再從中選出最好的1顆植入,很幸運的就懷孕了,在今年四月底產下3000克的健康男嬰,明年還希望再拼二胎。
案例二:40歲試管一次就成功懷孕
另一位W小姐結婚4年未能懷孕,直到年屆40歲,終於透過親友介紹來到茂盛醫院,經檢查後發現高齡造成她的卵子品量急劇下降。經3次取卵只取到9顆卵子後,利用四代試管結胚成4顆較好的胚胎,經過評分後選出最好的1顆做植入,試管一次就成功懷孕!W小姐從初診到懷孕只歷時短短9個月,在今年夏天產下2800公克的龍鳳胎。

一個良好的胚胎就可變成一個健康寶寶,效率驚人
透過AI人工智慧系統所挑選出的胚胎,比一般胚胎的懷孕率高出了3倍之多,而且流產率從平均的2成大幅降低至5%,四代試管整體懷孕率提高懷孕率至8成以上!這對不孕的夫婦、高齡婦女、有遺傳疾病的人,都是一大福音!。這篇論文也獲國際知名的生殖醫學期刊RBMO 的採納,並在「歐洲人類生殖與胚胎年會」發表,獲得將近80個國家的生殖醫學專家的高度評價!領先全球的「四代AI人工智慧試管」將為高齡婦女燃起一線希望。
填單進一步「了解試管嬰兒療程」
你想了解試管嬰兒療程如何進行嗎?- 取卵、胚胎培養、胚胎篩檢評級、植入療程如何進行?
- 哪些療程可以申請補助?哪些需要自費?
- 試管補助申請完整說明懶人包
- 案例金額剖析大匯集
- 到現場申請要攜帶那些文件?
- 多久可以收到補助款項?
- 如何讓補助金額最大化?
了解更多四代試管,歡迎洽詢
- LINE聯繫:茂盛醫院專員
- 電話聯繫:04-22347057
其他相關訊息
-
2021.12.23
生育力評估 | 2分鐘計算你的生育力 | 你的懷孕機率是多少?
-
2024.08.02
板橋院區 婚後孕前、育兒健檢門診公告
-
2024.04.25
茂盛板橋生殖中心開診公告







